Доц. д-р Валентин Васев е утвърден специалист в областта на ортопедията и травматологията с над 40 години клиничен опит. Завършва медицина през 1982 г. във ВМИ „Иван П. Павлов“ – Пловдив, и придобива специалност по ортопедия и травматология през 1988 г. През 1994 г. защитава докторска дисертация в областта на детската ортопедия, а през 1999 г. е избран за извънреден доцент по ортопедия и травматология към Тракийския университет – Стара Загора.
През 2008 г. получава престижната награда „Лекар на годината“ в категорията „Дългогодишна дейност и принос към развитието на специалността“. Член е на Българската асоциация по ортопедия и травматология, Българската асоциация по детска ортопедия, Европейската федерация на ортопедичните дружества (EFORT) и Европейската асоциация по детска ортопедия (EPOS).
BNR News
В момента доц. Васев продължава своята практика в Стара Загора и е част от екипа на МЦ „Даймънд Клиник“ в Хасково.
Практика и специализации
Доц. д-р Валентин Васев е специализиран в следните области на ортопедията и травматологията:
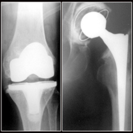
♦ Ендопротезиране: Извършва ендопротезиране на големи стави – тазобедрена, колянна и раменна – при травми, възпалителни заболявания и напреднало износване. Използват се висококачествени импланти на водещи световни компании като Zimmer, Mathys и Smith & Nephew.
♦ Заболявания на тазобедрената става в детска възраст: Предлага неоперативно и оперативно лечение на вродена луксация и други вродени или придобити заболявания на тазобедрената става при деца.
♦ Неврологични заболявания: Извършва оперативна корекция на деформации, възникнали вследствие на неврологични състояния като детска церебрална парализа, полиомиелит и акушерска парализа.
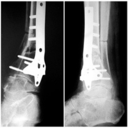
♦ Незараснали и неправилно зараснали счупвания: Предлага възстановителни и реконструктивни операции при неправилно зараснали или незараснали счупвания на крайниците.
♦ Разлика в крайниците: Извършва оперативна корекция на разлики в дължината на долните крайници за постигане на симетрия и нормална походка.
♦ Скрининг на новородените: Провежда профилактични прегледи за ранно откриване и изключване на вродени или придобити заболявания на опорно-двигателния апарат при новородени.
♦ Ходилни деформации: Диагностицира и лекува вродени (пес еквиноварус) и придобити деформации на ходилата – плоскостъпие, халукс валгус, метатарзоварус и др.
Образование и награди
♦ Образование: Завършва медицина през 1982 г. във ВМИ „Иван П. Павлов“ – Пловдив. Придобива специалност по ортопедия и травматология през 1988 г. През 1994 г. защитава докторска дисертация в областта на детската ортопедия.
♦ Научно звание: През 1999 г. е избран за извънреден доцент по ортопедия и травматология към Тракийския университет – Стара Загора.
♦ Сертификати и квалификации:
- Сертификати от Zimmer Institute (Виена) за минимално инвазивно ендопротезиране на тазобедрена и колянна става.
- Удостоверения от Mathys и Synthes за работа с тазобедрени и травматологични импланти.
♦ Награди и признания:
- През 2008 г. получава наградата „Лекар на годината“ в категорията „Дългогодишна дейност и принос към развитието на специалността“ от Българския лекарски съюз.
- Носител е на почетна грамота от БЛС през 2008 г.
♦ Членства:
- Българска асоциация по ортопедия и травматология.
- Българска асоциация по детска ортопедия.
- Европейска федерация на ортопедичните дружества (EFORT).
- Европейска асоциация по детска ортопедия (EPOS).
През 2008 г. получава престижната награда „Лекар на годината“ в категорията „Дългогодишна дейност и принос към развитието на специалността“. Член е на Българската асоциация по ортопедия и травматология, Българската асоциация по детска ортопедия, Европейската федерация на ортопедичните дружества (EFORT) и Европейската асоциация по детска ортопедия (EPOS).
BNR News
В момента доц. Васев продължава своята практика в Стара Загора и е част от екипа на МЦ „Даймънд Клиник“ в Хасково.